Time-saving technique for difficult lumbar punctures
Lumbar puncture failure, although not a catastrophic event, is always frustrating and time consuming. Skin marking after identifying spinous processes with ultrasound is an interesting method to increase your success rate. However, real time ultrasound guided lumbar puncture is relatively easy to do and faster than skin marking.
I personally use the abdominal probe with the complete sterile technique. By using the paramedian oblique sagittal view, I can follow my needle through its path from the skin to the space between two laminae.
The Atlas of Ultrasound-Guided Procedures in Interventional Pain Management, edited by Narouze, is a good resource to better understand spine sonoanatomy.
Here are some pictures showing the space we are looking for. Once the sacrum is identified, you can localize the L3-L4, L4-L5 and L5-S1 intervertebral spaces. Under direct view, with the probe in the paramedian oblique sagittal plan, just guide your needle into the interlaminar space.
1-Median view

2- Place the probe in the median sagittal plane. You will see spinous processes and their acoustic shadows

4- Move the probe few centimeters away from the midline and sweep the beam toward the vertebral canal to obtain a paramedian oblique sagittal view. You will see something that looks like the median sagittal view, but the bones are deeper. These bones are the laminae. The needle should be guided in the interlaminal space.

5- Probe position: with the patient lying on his left side, this operator chose to put the probe on the left side of the spine. However, he would have been a lot more comfortable by placing the probe on the right side because it is farther from the bed.

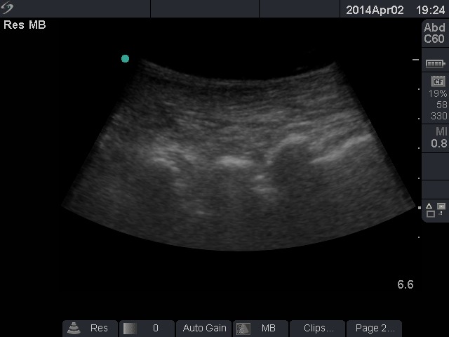
6- When the needle tip is between two laminae (in this picture, L3-L4), advance the needle until it reaches the thecal sac






Very useful and up to date
This is v useful. I would really like to watch a video of someone doing one with what the screen looks like at the time.. Have you ever seen one accessible online?
Cheers, andy