Troubleshooting Foley catheters
I firmly believe nurses should be trained to use POCUS to trouble shoot Foley catheters. It is not that rare for a difficult Foley insertion to result in a small amount of urine return and then no further drainage or the balloon fails to inflate easily. More often than not, the Foley is still in the urethra and significant damage can be done. Otherwise it can be jammed up against the bladder wall or have a large clot obstructing the inlet.
If in doubt, scan the bladder to confirm decompression and presence of the catheter. If you have difficulty visualizing it because the bladder is empty, flush the Foley while scanning the bladder and it’s location should become obvious. You can also manipulate the Foley and watch how the tip moves within the bladder, looking for obstruction.
Here is a case from Dr. Gordon:
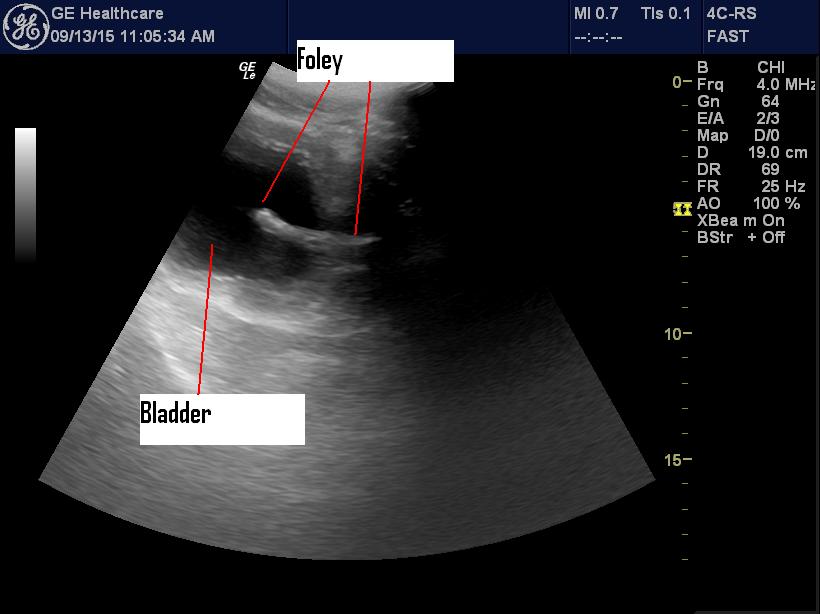
This patient came in for constipation. He was older so I checked for
retention. Sure enough his bladder was big-800+cc.
The nurses put a Foley in and drained a lot of urine but couldn’t
inflate the Foley balloon. I had a look and there was no Foley in the
bladder.
I pushed it in a few centimeters and sure enough the Foley appeared in
the bladder.
It still wouldn’t inflate, so I pushed it a touch further and sure
enough the balloon inflated and the patient was able to go home (after
disimpaction, rehydration, etc.)








Yup, agree. There are a lot of prostates and other tissues that have been shredded over the years by balloon inflation when the Foley hasn’t been advanced far enough or has created a false passage. Routine POCUS prior to balloon would drastically reduce these misadventures. This is not something that the “Bladder Scanner” device can do. This case illustrates that even when urine returns, the tip of the tube may not be in the bladder. There have been 3 EDE RN Courses so far. Lots of work still to do!